Možgani na britoff

Znanstveni britoff

V znanstveni reviji Proceedings of the National Academy of Sciences je bila nedavno objavljena britansko-nizozemska študija, v kateri so se znanstveniki spraševali, kako se izogniti nevrološkim posledicam, ki pogosto sledijo pretresu možganov. Prvotnim znakom, kot so bruhanje, glavobol in izguba zavesti, v najbolj črnem scenariju sledijo hujše težave - otekanje možganov, možganske krvavitve, motnje vedenja in spomina ter epileptični napadi.

Pretres možganov je pogosta poškodba pri tistih, ki se ukvarjajo s kontaktnimi športi, kot sta rugby ali boks, ali pa so samo nekoliko bolj nerodni. Po močnem udarcu v glavo pride do poškodbe možganskih celic in žilic, zato se na tem mestu razvije vnetje, pri katerem glavno vlogo odigra kompleks membranskega napada. To je del prirojenega imunskega sistema, ki brez pomoči protiteles prepozna in odstrani poškodovane celice.

Raziskovalna skupina je tekom raziskave razvila protein, ki se hitro in specifično veže ravno na omenjeni kompleks membranskega napada, ki je prisoten na mestu poškodbe. Njegova količina se je po dodatku proteina v možgane mišk zmanjšala, verjetnost naknadnih nevroloških zapletov pa je upadla za kar 50 odstotkov. Ukrep je bil izveden od pol ure do štirih ur po poškodbi, kar nakazuje na potencialno rabo v urgentni medicini.

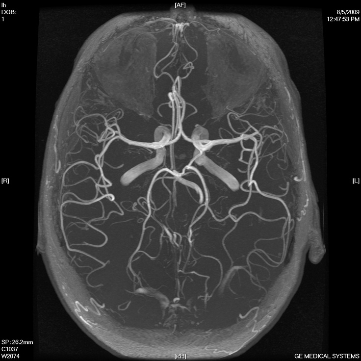
Pretirana ograjenost od okolice lahko pogosto vodi v kopičenje problemov. Podobno velja tudi za človeške možgane, ki so obdani s krvno–možgansko pregrado. Kljub njeni zaščitni vlogi, predstavlja ta glavno oviro v dostavljanju zdravil do možganov. Zdravljenje možganskih tumorjev, Alzheimerja in drugih bolezni je zato izredno težko, saj številna zdravila ne morejo preiti pregrade.

Preboj v dostavi zdravil preko krvno-možganske bariere je dosegla kanadska skupina raziskovalcev pod vodstvom doktorja Mainprizea. To so dosegli s pomočjo zračnih mehurčkov, vbrizganih v kri bolnice. Ko so ti pripotovali do možganov, so jih raziskovalci obstreljevali z ultrazvokom, zaradi česar so se mehurčki začeli raztezati in krčiti.

Zaradi pulziranja mehurčkov so se na krvno–možganski pregradi ustvarile majhne rane, oziroma luknje, skozi katere so nato lahko prehajala zdravila. Nastale luknjice so bile tudi zadosti majhne, da so se poškodbe zacelile po dvanajstih urah. Metoda se je skratka že izkazala za uspešno.

Če bo metoda prišla v redno uporabo, se obetajo številne nove možnosti za zdravljenje možganskih bolezni, ki jih do sedaj z zdravili ni bil mogoče ciljati.  

Glavo sva izgubljala Andrea in Arne.

 

Dodaj komentar

Komentiraj

Z objavo komentarja potrjujete, da se strinjate s pravili komentiranja.

Napovedi